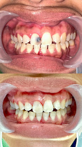
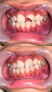
Mecca Dental Care Cihideung - Klinik Dokter Gigi Tasikmalaya: Tambal Gigi Depan, Cabut Gigi Bungsu, dan Scaling Gigi

Mecca Dental Care merupakan klinik gigi Tasikmalaya yang mengutamakan kenyamanan dan profesionalisme dalam setiap layanan. Sebagai klinik dental dengan tim dokter gigi Tasikmalaya berpengalaman, kami menghadirkan perawatan ramah, aman, dan terpercaya. Fasilitas modern kami siap mendukung berbagai kebutuhan, mulai dari bleaching gigi, scaling gigi, periksa gigi rutin, tambal gigi berlubang, hingga pasang behel untuk menunjang kesehatan dan estetika senyum Anda. Dengan pelayanan komprehensif dan atmosfer ruang perawatan yang nyaman, Mecca Dental Care menjadi pilihan tepat bagi Anda yang mencari dental clinic dan dental care berkualitas di Tasikmalaya. Hubungi kami sekarang untuk jadwalkan kunjungan dan wujudkan senyum sehat percaya diri!

Cover photo of Mecca Dental Care Cihideung - Klinik Dokter Gigi Tasikmalaya: Tambal Gigi Depan, Cabut Gigi Bungsu, dan Scaling Gigi

Customer's reviews

pertama kalinya kesinii ngeliat tempatnya bner² bersih, nyaman bngtt pluss ada cafe dan dikasi kupon gratis minuman jdi ga bosen nunggu, disambut sma resepsionis yng ramah bngtt pas dipanggil trnyata dokternya ga kalah ramahh, IHH SYUKAAA BGTTTT😍😍😍 cara ngejelasinnya pun bner² pelan tpi detail bngtt, mingdeppp otw siniii lgiii🥰🥰 ~ Dewi a
Dokter nya bneran ramah bangeet, kebetulan aku pernah konsultasi dan scaling sama Dokter Esha, jadi yang awalnya takut jadi lebih bisa tenangan, abis itu tempat nya cozy abis, nyaman dan bersih, dan nilai plus nya ada mushola yang disertai sejadah dan mukena, pokonya recomendid buat yg nyari dokter gigi, langsung kesiniii ajaaa 🫡👍🏻✨🥰 ~ Aulya S
Rekomend klinik gigi di tasikmalaya, lokasi nya mudah dijangkau,fasilitas klinik bersih dan nyaman. Dokter serta para staf ramah dan komunikatif,banyak pilihan perawatan yg tersedia,perawatan lengkap dan terawat . Kebetulan aku perawatan ortho disini 😁 happy banget karena pelayanan dan perawatan nya bagus bgt dan dokternya ramah🤗 ~ Eliv L

Blog

Senyum Lebih Percaya Diri Dimulai dari Perawatan yang Tepat ✨ Menjaga kesehatan gigi bukan hanya soal fungsi, tapi juga soal rasa percaya diri. Di M… Posted on: April 1, 2026
Periksa Gigi Rutin, Hindari Masalah Lebih Besar 🦷 Sering menunda periksa gigi karena belum terasa sakit? Justru di situlah pentingnya kontrol rutin… Posted on: March 31, 2026
Periksa Gigi Lebih Tenang di Mecca Dental Care Menjaga kesehatan gigi itu penting, dan Mecca Dental Care hadir sebagai dental clinic yang nyaman di… Posted on: February 19, 2026

Contact information

Address
Jalan Cieunteung No.111 Argasari Kecamatan Cihideung Kabupaten Tasikmalaya 46122
Sunday Closed
Monday 8:00 AM - 8:00 PM
Tuesday 8:00 AM - 8:00 PM
Wednesday 8:00 AM - 8:00 PM
Thursday 8:00 AM - 8:00 PM
Friday 8:00 AM - 8:00 PM
Saturday 8:00 AM - 8:00 PM

Find us on social media